随着中国与全球经济多元化合作时代的到来,华侨城不断挖掘拓展文化产业外延,创造性地提出了“文化+旅游+城镇化”的创新发展战略,大力推进...【查看详情】
一方有难,八方支援。7月21日得知温州乐清营业部同事吴艳芳患上了红斑狼疮后,她的病情就深深牵动着信和人的心。在信和财富董事长的倡议和...【查看详情】
盛夏将逝,共享单车市场却呈现出“冰火两重天”的景带动象。在这场熙来攘往的“淘汰赛”中,一边是老玩家的相继撤离,一边是寡头企业的持续...【查看详情】
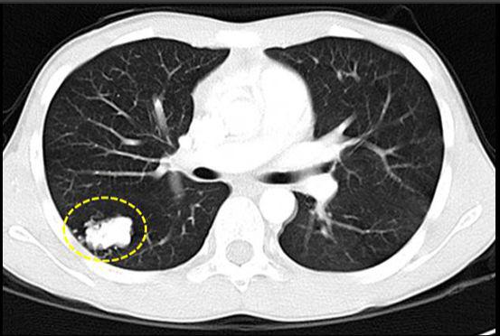
在生活中经常会有人查出肺部结节,这种是不是肺癌的预兆呢?肺癌帮APP里也经常有人留言,肺癌小结节会不会转成癌呢?这些疾病的信号引起了...【查看详情】
刚刚小编无意中看到一条关于中美毕业生薪资的新闻,说是美国的大学毕业生的起薪平均在3950美元左右。而据《2017中国大学生就业报告》相关数...【查看详情】
供应链金融并非新鲜事物,在我国已有十多年的发展历史。但随着零售互联网+入口抢占接近饱和,数字化进程逐渐从个人转向企业,产业互联...【查看详情】
十几岁的孩子正值天真烂漫之时,本该享受着家人的爱护,在学校里茁壮成长,但作为华夏人寿2017客服节帮扶对象之一的小席雨,她10岁的...【查看详情】
周六的上午,在之前听朋友说过一碗鸡汤面后就一直惦记着,也就是这样我一大早就醒了,神奇的是我完全没有睡懒觉的想法,洗漱完毕就愉快的出...【查看详情】
重庆仁爱医院黑不黑?夏末秋初总是各种妇科炎症肆虐的季节,最近患者小徐就遇到了这样的难题,据患者小徐讲述她最近总是感觉有些不舒服,白...【查看详情】
手机号码定位是指通过特定的定位技术来获移动手机或终端用户的位置信息(经纬度坐标),在电子地图上标出被定取位对象的位置的技术或服务...【查看详情】
无论在什么场合,满面油光都会给自己的形象大打折扣。而如今人们的生存压力越来越大,在加班熬夜、PM2.5超标、干燥的空调环境、不健康的饮...【查看详情】
8月8日,“数字资产(ACChain)运营发布会”在北京举行。此次大会由贵阳区块链金融有限公司北京运营中心主办。这是一次数字货币界的盛会,本...【查看详情】
所属频道:风险管理
所属频道:财税管理
所属频道:投资管理